你知道吗?在我们的日常生活中,牙齿健康问题可是个不容忽视的大问题。尤其是那些已经步入成年的朋友们,大牙蛀牙的问题更是让人头疼。今天,就让我带你一起走进大牙蛀牙的世界,看看那些让人忍俊不禁的视频和图片吧!

首先,让我们来认识一下大牙蛀牙。大牙,也就是我们常说的智齿,位于口腔最里面的位置。由于位置特殊,清洁起来相对困难,因此很容易成为蛀牙的高发区。
蛀牙,顾名思义,就是牙齿被细菌侵蚀,导致牙釉质和牙本质受损。而大牙蛀牙,就是指大牙上的蛀牙。下面,我们就来欣赏一下那些让人忍俊不禁的大牙蛀牙图片吧!

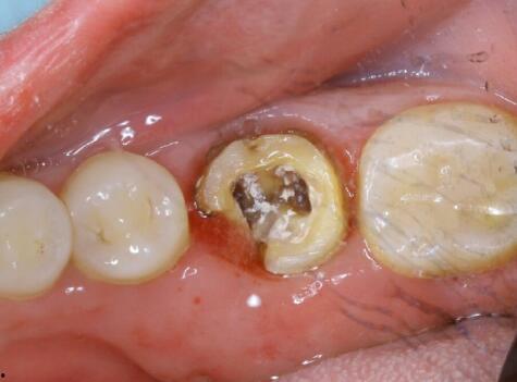
这张图片展示了一颗严重蛀牙的大牙,可以看到牙洞深不见底,仿佛一个黑洞,让人不禁为牙齿的主人捏一把汗。

这张图片中,我们可以看到一颗蛀牙旁边的好牙,两者形成了鲜明的对比。蛀牙黑洞般的牙洞,让人对牙齿健康产生了深深的担忧。
那么,大牙蛀牙是怎么形成的呢?其实,罪魁祸首就是口腔中的细菌。这些细菌会利用食物残渣中的糖分,产生酸性物质,从而腐蚀牙齿。
下面,我们就来了解一下大牙蛀牙的“幕后黑手”——口腔细菌。
这个视频展示了口腔细菌在牙齿表面疯狂繁殖的过程。看着那些细菌在牙齿上“狂欢”,不禁让人为牙齿的健康担忧。
这个视频通过慢动作展示了口腔细菌对牙齿的破坏过程。可以看到,细菌在短时间内就能将牙齿腐蚀出一个大洞,让人触目惊心。
既然大牙蛀牙如此可怕,那么我们应该如何治疗它呢?下面,就让我们一起来了解一下大牙蛀牙的治疗方法。
对于轻度的大牙蛀牙,医生会采用补牙的方法进行治疗。通过填充材料填补蛀牙洞,恢复牙齿的正常功能。
对于蛀牙较深的大牙,医生会进行根管治疗。这个过程需要将蛀牙内的神经和血管去除,然后填充材料,防止细菌再次侵入。
在极少数情况下,如果大牙蛀牙严重到无法治疗,医生可能会建议拔除这颗牙齿。
当然,治疗不如预防。那么,我们应该如何预防大牙蛀牙呢?
每天早晚刷牙,使用牙线清理牙缝,定期洗牙,都是保持口腔卫生的好方法。
少吃甜食、酸性食物,多吃富含纤维的食物,有助于保护牙齿。
定期到牙科医院进行检查,及时发现并治疗蛀牙。
通过以上内容,相信大家对大牙蛀牙有了更深入的了解。在日常生活中,我们要重视牙齿健康,预防大牙蛀牙的发生。同时,也要学会欣赏那些让人忍俊不禁的大牙蛀牙视频和图片,让生活更加有趣。记住,拥有一口健康的牙齿,才能笑得更灿烂!
本文由admin于2026-04-13发表在91成人免费短视频,如有疑问,请联系我们。
本文链接:https://91spcrbgfb.com/post/767.html